REGENERACION OSEA Y PLASMA RICO EN PLAQUETAS EN ODONTOLOGIA
Cuando se realiza una extracción dental, existe un proceso de reabsorción y pérdida ósea inherente a este evento, ya que los dientes mediante su relación y función con el hueso mantienen estable la forma y densidad del mismo. De modo que al no existir el estímulo dental en el hueso, éste se colapsa. Un ejemplo de ello es el siguiente caso:
![]() |
![]() |
| Radiografía e imagen de premolar impactado contra 1er molar superior izquierdo, que ha producido perdida de hueso en ambas piezas dentales. | |
![]() |
![]() |
| Defecto de cicatrización posterior a la extracción de las piezas afectadas, sin colocar injerto óseo | |
El desarrollo de la ingeniería de tejidos en la actualidad, pone a la mano del cirujano recursos que ayudan a optimizar la calidad del hueso en tratamientos de regeneración ósea. Por un lado, se cuenta con la disponibilidad de injertos óseos biocompatibles de origen humano o animal, comúnmente de vaca, para su colocación en defectos del hueso o alrededor de los dientes cuando han perdido su relación con el hueso que los soporta. Por otro lado, diversas técnicas quirúrgicas avanzadas, permiten tomar injerto de hueso del propio paciente para usarlo en sí mismo. El conocimiento de la existencia de unas proteínas sanguíneas llamadas factores de crecimiento contenidos en las plaquetas, ha llevado a desarrollar el plasma rico en plaquetas (PRP), un concentrado de estas proteínas mediante el centrifugado de una pequeña cantidad de sangre propia del paciente. Es un verdadero autoinjerto que tiene la capacidad de mejorar el proceso de cicatrización de una herida en hueso y encía. Se usa como complemento en los procedimientos de regeneración ósea de los maxilares.
![]() |
![]() |
![]() |
![]() |
| Muestra de sangre tomada del paciente y su colocación en la centrífuga para ser preparada | |
![]() |
![]() |
| Una vez centrifugadas las muestras, se separa en un suero amarillo rico en plaquetas con el cual se hidratan los injertos óseos | |
Algunas de las aplicaciones del PRP son los siguientes:
Cirugia dentoalveolar:
En extracciones dentales, la aplicación de PRP ha demostrado la disminución del desarrollo de alveolo seco, además promueve la curación de la herida. Otra ventaja es su eficiente función como hemostático. Así que no habrá riesgo de sangrado postoperatorio.
![]() |
![]() |
|
| Paciente con 2º molar retenido abajo del 3er molar, se deberá eliminar ambos regenerar el hueso con injerto para preparar a la posterior colocación de una prótesis | ||
![]() |
![]() |
|
| Extracción del molar retenido | ||
![]() |
![]() |
|
Zona de extracción extensa de 2 molares inferiores y el injerto óseo mas PRP en la cavidad resultante |
||
| ||
| Sutura de la herida | ||
![]() |
![]() |
|
| Transcurridos 2 meses, la zona operada esta lista para recibir una prótesis | ||
Cirugia preimplantes y elevación de seno maxilar
En la preparación de zonas de extracción que posteriormente recibirán implantes dentales, en los procedimientos de elevación de seno maxilar, la hidratación de injertos óseos liofilizados y su manipulación resulta más fácil por la cohesión que le proporciona al material y el resultado final es una regeneración de hueso de mejor calidad a corto plazo: en otras palabras mejor densidad ósea en menos tiempo. Los siguientes casos ejemplifican estos beneficios.
CIRUGIA PREIMPLANTES
![]() |
![]() |
| Paciente con resto radicular y defecto óseo después de su extracción | |
![]() |
![]() |
| Regeneración ósea con injerto de hueso y PRP y resultado de la cicatrización después de 3 meses | |
![]() |
![]() |
| Transcurrido ese tiempo, se realiza la inserción del implante óseointegrado | |
![]() |
![]() |
| Implante colocado y sutura de herida | |
![]() |
![]() |
| Una vez que el implante se integró, se termina la rehabilitación con una corona | |
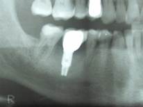
![]() |
|
Radiografía antes y después del proceso regenerativo (falta rx inicial) |
|
ELEVACION DE SENO MAXILAR E IMPLANTES
Este procedimiento permite colocar implantes dentales en zonas posteriores del maxilar, donde la reabsorción ósea no permite la colocación de implantes. El límite anatómico aquí es el piso del seno maxilar, que al injertarse con hueso proporciona la longitud suficiente para restaurar con implantes
| ||
![]() |
![]() |
|
| Vista preoperatoria de paciente con ausencia de molares superiores izquierdos y esquema del defecto | ||
|
||
![]() |
![]() |
|
| Momento de la elevación del piso de seno y colocación del injerto óseo | ||
![]() |
||
![]() |
![]() |
|
| Inserción de los implantes y colocación del restante de injerto óseo alrededor de ellos | ||
![]() |
||
![]() |
![]() |
|
| Cuatro meses después los implantes se han integrado, y se prueban las partes de las coronas que se soportarán sobre ellos | ||
![]() |
||
![]() |
![]() |
|
| Resultado final de la restauración terminada | ||
![]() |
![]() |
|
| Radiografías antes y después del proceso | ||
Periodoncia: Tras un procedimiento de cirugía plástica periodontal, en el tratamiento de recesiones gingivales y en curetajes abiertos, su naturaleza de adhesivo tisular promueve la cicatrización de las encías.
![]() |
![]() |
| Curetaje abierto con PRP y resultado posterior a la reconstrucción con coronas de metal-porcelana | |
Una parte muy importante de la consulta del Dr. Andrés Méndez consiste en tratamientos de regeneración ósea desde hace más de 15 años. Se mantiene en actualización constante en este campo para ofrecerle los tratamientos de vanguardia.


















































