3os Molares
El adulto posee 32 dientes, 16 dientes superiores e igual número abajo. Sin embargo, en gran parte de la población, el tamaño promedio de la boca se desarrolla para alojar solo 28 dientes. En estos casos, resulta muy doloroso cuando 32 dientes tratan de entrar en una boca donde solo caben 28. Los cuatro dientes restantes son los 3os molares, también conocidos como molares del juicio. Los 3os molares, son los últimos que erupcionan en el adulto (aproximadamente lo hacen entre los 16 y 21 años de edad). Cuando ellos se alinean adecuadamente y las encías están saludables, no necesitan ser retirados y solo basta con mantener una correcta higiene oral.
Desafortunadamente esto no siempre sucede. La extracción de estos molares es necesaria cuando se hace evidente que no van a erupcionar adecuadamente. Estos pueden estar parcialmente cubiertos por la encía, impactarse en una posición inadecuada o quedarse completamente retenidos dentro del hueso.
|
| Radiografía panorámica de un paciente con retención de 3os molares en múltiples posiciones. |
Además, la higiene de la zona nunca es lo suficientemente eficiente si están presentes los 3os molares. Tras su extracción, la limpieza se optimiza de modo importante.
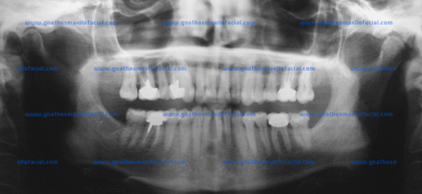
|
| Radiografia panorámica mostrando 3os molares. Del lado izquierdo (flecha) ante la ausencia del inferior, el 3er molar superior se ha salido de su plano y lastima la mucosa de la mandíbula |
|
| Tras la extracción de estas piezas dentales y la rehabilitación dental, la higiene y la comodidad del paciente se incrementan con una dentición hasta el 2º molar en los cuatro cuadrantes de los maxilares |
En ocasiones, cuando el 3er molar se encuentra parcialmente erupcionados en contacto con el segundo molar, y el paciente no tiene la higiene oral adecuada, se producen caries tan importantes en esta pieza dentaria, que cuando empiezan a producir dolor, se ha afectado a tal grado el segundo molar que a veces es necesario también extraerlo.
|
|
|
|
| 3er molar inferior izquierdo semierupcionado e impactado contra el 2o molar adyacente, que ha producido caries profunda y pérdida de este último. | |
La presión que los 3os molares ejercen sobre los dientes adyacentes produce dolor que se puede irradiar a otras zonas de la boca, cara y cráneo. Esta presión se debe a que a pesar de no existir el espacio necesario para erupcionar, los molares intentan hacerlo y el resultado es la movilización de los dientes vecinos, ocasionando apiñamiento (malposición dental) y en muchos casos arruinan tratamientos de ortodoncia de muchos años. Por esta razón se recomienda la extracción de los terceros molares, a todo aquel paciente que va ser o fue tratado con ortodoncia.
|
|
|
|
| Malposiciones dentales severas en un paciente con erupción activa de los 3os molares | |
La pericoronitis es una condición inflamatoria que ocurre a medida que el tercer molar intenta erupcionar. El espacio que existe entre la encía y el molar, es un sitio predilecto para la acumulación de restos alimenticios. Esto ocasiona la retención y proliferación de bacterias que pueden eventualmente originar una infección, resultando en inflamación en la encía que rodea el molar, imposibilidad de abrir la boca, dolor severo, fiebre y malestar general. En casos mas graves se puede llegar a formar un absceso (infección localizada), pudiendo requerir de un drenaje quirúrgico de emergencia con la necesidad de administrar antibióticos por vía endovenosa, y hospitalización del paciente. Posteriormente el paciente igualmente requerirá de la extracción de o de los molares para evitar una nueva infección.
|
|
|
|
| Pericoronits de 3er molar inferior derecho | |
Los terceros molares al quedarse retenidos dentro del hueso pueden causar muchos problemas. Se pueden formar quistes de grandes dimensiones a partir del tejido que forma el tercer molar, destruyendo parte del hueso y dañando los dientes vecinos o reabsorbiendo sus raices
|
| Quiste dentígero relacionado a la corona de un tercer molar inferior izquierdo retenido. Arriba también hay otro quiste relacionado al canino (flechas) |
Si un quiste dentigero se deja sin tratamiento, se desarrollará la lesión hasta producir destrucción ósea importante. Consecuentemente, el manejo será muy radical en comparación con la simple extracción y enucleación de la lesión en etapas tempranas.
|
| Quiste dentigero amplio involucrando hemimandibula (flechas) |
|
| Misma lesión (flechas) en una rx lateral oblícua de mandíbula |
Para prevenir este tipo de lesiones, se deben extraer los 3os molares y principalmente cuando muestran una imagen sospechosa de lesión quística. Esto consiste en eliminar el molar retenido por el método convencional, y posteriormente se retira con un instrumento la lesión quística que queda en el lecho de la extracción.
|
| Paciente con 4 quistes dentigeros relacionados a los 3os molares superiores e inferiores en etapa temprana |
|
| Radiografia de control postextracción de los cuatro 3os molares y enucleación de los quistes |
|
| 3er molar superior derecho con la capsula del quiste |
El 3er molar es una pieza dentaria que tiene gran cantidad de variaciones anatómicas, de posición y de número. Por lo que se pueden encontrar molares con 4 raíces separadas o fusionadas, en posición horizontal, angulado o invertido. Incluso existen los 3os molares supernumerarios en proximidad con los 3os molares.
|
|
| 3os molares con cuatro raíces separadas | |
|
|
| Impactaciones severas de 3os y 2os molares inferiores | |
|
|
| 3er molar superior retenido | |
|
|
| 3er molar superior izquierdo horizontal dentro del seno maxilar e invertido. Radiografías antes y después de la cirugía | |
|
|
| 3er molar inferior retenido en posición invertida | |
|
|
|
|
| Dilaceraciones severas en 3os molares | |
|
|
|
|
| 3er molar supernumerario (flecha) ántes y después de extracción | |
La importancia de que un cirujano oral y maxilofacial se encargue de realizar este tipo de cirugías, radica en su habilidad para hacer el trabajo propio de su especialidad y su capacidad para resolver posibles dificultades que se presenten, ante las variaciones de anatomía y posición que presenta el 3er molar retenido. Si no se posee la habilidad quirúrgica suficiente, existe alto riesgo de complicaciones al momento de realizar el procedimiento: desde fractura de la corona quedándose retenidas las raíces o lastimar innecesariamente al paciente con un tiempo prologado de la cirugía, hasta problemas tan graves como lesiones nerviosas o una fractura mandibular.
|
| Fractura de la corona del 3er molar en un intento de extracción. |
|
| Fractura mandibular (flecha) durante la extracción de un 3er molar inferior derecho. |
|
| 3er molar superior derecho (flecha) dentro del seno maxilar en un intento de extracción. |
|
| Instrumento fracturado en los tejidos blandos (flecha), cercano a la zona de extracción de un 3er molar inferior izquierdo |
|
| Pérdida del 2º molar por intento de extracción de 3er molar inferior derecho con deficiente técnica |
|
| Absceso palatino originado en un 3er molar superior derecho |
La extracción temprana o preventiva de los terceros molares se recomienda para evitar cualquiera de los problemas antes mencionados y simplifican el procedimiento quirúrgico, y los resultados son excelentes ya que es menos traumático programar un procedimiento de este tipo, que atenderlo de modo urgente. Los pacientes son evaluados generalmente a edades tempranas o en la adolescencia, y con un examen bucal y una radiografía panorámica se podrá evaluar la posición de los molares, predecir si estos pueden producir problemas futuros, y decidir la conducta a seguir en cada caso. El procedimiento de extracción quirúrgica de 3os molares se realiza bajo anestesia local, y en todos los procedimientos se incluye la aplicación de láser terapéutico, lo cual mejora la cicatrización de la herida, disminuye las molestias durante y después de la cirugía y ayuda a que se resuelva la inflamación más pronto.
El procedimiento más frecuente en la consulta del Dr. Andrés Méndez son los 3os molares, realizando al menos 5 cirugías diarias desde hace más de 15 años.
consultorio 204 Col. Narvarte
(Entre Concepción Béistegui y Eje 5 Eugenia)
Del. Benito Juárez Ciudad de México C.P. 03020 Horario de atención previa cita:
Lunes a viernes 16:00 a 20:00 hrs
Sábados 10:00 a 14:00 hrs

